我们在接诊过程,经常遇到有家长求助:宝宝才1岁多,早晚都有刷牙,家长却发现,孩子牙齿上黑点越来越多;使劲儿刷能下去一点,但这样刷牙,孩子都害怕牙刷了......这么小,牙齿蛀了这么多,怎么办?
其实,这种刷不掉的小黑点,很有可能是牙齿表面「色素沉着」,不是蛀牙。
牙齿表面黑色素沉着,常常发生在宝宝乳牙期间;很多爸爸妈妈可能不了解它,以为是蛀牙,非常担心,今天我们来详细说说什么是「色素沉着」。

1、什么是「色素沉着」?
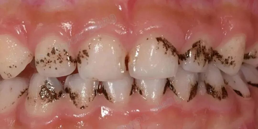
牙面色素沉着是一种外源性的牙齿表面色素沉积,常表现为牙龈边缘处散在分布或成片相连的黑褐色斑纹或黑点,虽表面光滑但难以刷净。
有研究表明,这些色素沉积物是一种黑色不溶性铁化合物,由细菌代谢产生的硫化氢与铁相互作用形成。色素沉着除美观外对牙齿健康没有影响。

导致色素沉着的原因
1、饮食原因
孩子成长中,接触带色的食物如蓝莓、桑葚,及带色素饮料如可乐、红茶,还有家中酱油等深色调料,均易导致色素牙问题。

2、清洁问题
孩子不良的口腔卫生习惯,如饭后不漱口、早晚不刷牙或刷牙方式不当,导致牙齿清洁不到位,均易使食物残渣与色素沉积于牙齿表面。

3、药物原因
进食中药药剂、补铁剂等色素药物,形成易于色素沉积的菌群环境,导致牙齿色素沉着。
4、其他因素
口腔内无机物如钙、磷等成分比例的改变、唾液分泌量及流速、微生物代谢等都可能导致色素沉着。
如何区分色素沉着和蛀牙
色素沉着出现时,大部分家长因无法区分它和蛀牙而导致过分担心,其实,色素沉着和蛀牙有本质区别:
色素沉着是一种染色物质吸附,不影响牙齿的结构;蛀牙是龋病菌对牙齿的腐蚀,会对牙齿结构造成影响。

日常生活中如果发现孩子牙齿出现“小黑点”,可以从以下4点进行初步判断:
1、看形态
色素沉着:色素沉着的黑点是在牙齿表面的;
蛀牙:黑点是从牙齿内部透出来,是牙齿的一部分。

2、看质地和牙齿状态
色素沉着不会改变牙齿质地和完整度。
家长可以用棉签轻轻擦拭“小黑点”进行检查,如果牙齿表面光滑坚硬,大概率是色素沉着,如果牙齿表面有凹坑缺损,极有可能是蛀牙。

或是用牙刷刷一刷,“小黑点”刷完会变浅的,通常是色素沉着;刷完没有变化,且感觉牙齿表面有坑洼的,多半是蛀牙。
3、问孩子感受
色素沉着是不会影响孩子正常进食和生活的。
但蛀牙会让孩子牙齿变得敏感,如果孩子怕吃冰的、甜的、酸的,甚至觉得牙痛,是蛀牙的概率很大。

发现孩子牙齿有小黑点,最靠谱的方法还是带孩子到专业口腔医院,让专业医生进行检查。
如何去除色素沉着
色素沉着虽然不影响健康,但会影响美观。想要有效去除,可以试试以下2种办法:
1、减少高色素食品的摄入
如果发现孩子食用了高色素的蔬菜、水果或是酱油、巧克力等食物后出现色素沉着,可以减少这些食物的摄入,或是在孩子进食后及时的漱口,清洁牙面,避免加速色素沉着的进程。
2、到专业口腔医院清洁
如果色素沉着严重,已经影响美观,可以到专业口腔医院,通过儿牙洗牙抛光的方法进行去除色素。

对于孩子的牙齿健康,爸妈也不需要过度担忧,只需带孩子定期检查、早预防早治疗就可做到防患未然。
THE END
版权所有:美皓医疗集团有限公司 版权所有 备案号 浙ICP备2023020491号-1